Immun tizimi tananing immun javobini va immun funktsiyasini amalga oshiradigan muhim tizimdir. U immunitet organlari, immunitet hujayralari va immun molekulalaridan iborat.
T-limfotsitlar, qisqartirilgan T-hujayralari, suyak iligidan olingan limfoid ildiz hujayralari bo'lib, ular timusda farqlanadi va pishib etiladi, so'ngra limfa va qon aylanishi orqali immun funktsiyalarini bajarish uchun butun tanadagi immunitet a'zolari va to'qimalariga tarqaladi.
Ushbu nashrda biz ilmiy tadqiqotlarga yordam berish uchun T-hujayra belgilariga tegishli antikorlar bilan tanishamiz!
T-hujayra belgisi
1. T hujayra belgilari
CD3: GB12014, GB15014
2. Yordamchi T hujayralari
CD4: GB15064
Th1 hujayralari:
FasL: GB11090-1;
CCR5: GB11504
Th2 hujayralar:
cd30: gb111140.
IL-10: GB11108, GB12108
Th17 hujayralari:
IL-23R: GB11660;
IL-22: GB11259;
IL-17: GB11110-1
3. Sitotoksik T hujayralari
CD8: GB12068, GB15068
Granzim B: GB15092
4. Regulyatsiya qiluvchi T hujayralari
Foxp3: GB112325
Eslatma:Servicebio antikorlaridan faqat ilmiy tadqiqotlarda foydalanish mumkin.
▇ 1. T hujayra belgilari
1) CD3
Mushuk. No .: GB12014, GB15014
CD3 hujayralari yoki etuk T-limfotsitlar organizmdagi umumiy T-hujayralar darajasini ko'rsatadi va immun funktsiyasi holatini aks ettiradi.

▇ 2. Yordamchi T hujayralari
1) CD4
Mushuk. №: GB15064
CD4 hujayralari, shuningdek, induktor/yordamchi T hujayralari sifatida ham tanilgan, inson immunitet tizimining eng muhim hub hujayralaridir.
▍ Th1 hujayralar
1) FasL
Mushuk. No.: GB11090-1
FasL - TNFRSF6/FAS o'lim retseptorlari bilan bog'lanishga qodir sitokin va T-hujayra rivojlanishidagi sitotoksiklik tufayli uning apoptoziga vositachilik qiladi.
2) CCR5
Mushuk. №: GB11504
Trend faktor retseptorlari 5 (CCR5), shuningdek, CD195 nomi bilan ham tanilgan, T hujayralari va monotsit/makrofag hujayralarining migratsiyasi, proliferatsiyasi va immunitetini tartibga solish funktsiyalariga ega bo'lgan hujayra yuzasi oqsili bo'lib, asosan xotira tinch T limfotsitlarining hujayra membranalarida ifodalanadi. , monositlar va yetilmagan dendritik hujayralar.
▍ Th2 hujayralar
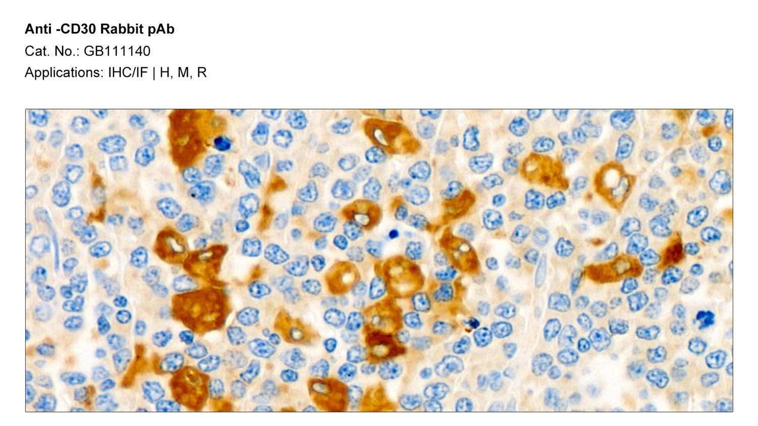
1) CD30
Mushuk. Raqam: GB111140
T hujayralari orasida CD30 asosan Th2-sitokin ajraladigan T hujayralarida va CD45RO ni IL{6}} retseptorlari bilan birgalikda ifodalovchi CD4+/CD{4}} timositlarda ifodalanadi.

2) IL-10
Mushuk. No .: GB11108, GB12108
Interleykin-10 (IL-10), shuningdek, inson sitokinlari sintezini inhibe qiluvchi omil (CSIF) sifatida ham tanilgan, asosan faollashtirilgan T hujayralari, monotsitlar, B hujayralari va makrofaglar kabi antigen taqdim qiluvchi hujayralar tomonidan chiqariladi.
▍ Th17 hujayralar
1) IL-23R
Mushuk. Raqam: GB11660
IL-23 heterodimerik gematopoetik sitokin bo'lib, disulfid bog'i bilan bog'langan ikkita subbirlikdan, p40 va p19dan tashkil topgan. IL-23 ning IL-23R bilan bog‘lanishi quyi oqimdagi yallig‘lanishga qarshi sitokinlarning chiqarilishini tartibga soladi va bu signalizatsiya yo‘lining buzilishi psoriaz kabi otoimmün kasalliklarni keltirib chiqaradi.
2) IL-22
Mushuk. Raqam: GB11259
Interleykin 22 (IL-22) IL-10 sitokinlar super oilasining a'zosi bo'lib, ko'pchilik interleykinlardan farqli o'laroq, immun hujayralar faoliyatini to'g'ridan-to'g'ri tartibga solmaydi, balki to'qima to'sig'idagi hujayralarga ularning ishlab chiqarilishini qo'zg'atadi. antimikrobiyal oqsillar va infektsiyaga qarshi immunitet uchun muhim oqsillar bo'lgan o'ziga xos kimokinlar.

3) IL-17
Mushuk. No.: GB11110-1
IL-17 sitokinlar oilasi olti a'zodan iborat, ya'ni IL{1}}A, IL17B, IL{3}}C, IL-17D, IL17E va IL-17 F. IL-17A psoriazda muhim rol o'ynaydi.
▇ 3. Sitotoksik T hujayralari
1) CD8
Mushuk. No .: GB12068, GB15068
CD8 xujayralari, bostiruvchi/sitotoksik T-limfotsitlar CD4 ning haddan tashqari faollashuvini inhibe qilgan holda kasallik keltirib chiqaruvchi hujayralarni bevosita tanib, o'ldirishi mumkin. Shuning uchun CD4/CD8 nisbati immun funksiyasining klinik diagnostikasi uchun sezgir ko'rsatkich bo'lib, agar nisbat anormal bo'lsa, organizmning immun funktsiyasi tartibsiz ekanligini tezda aniqlash mumkin.
2) Granzim B
Mushuk. №: GB15092
Granzim B o'ziga xos sitotoksik T hujayralari va tabiiy qotil hujayralarida joylashgan neytral serin proteazadir.

▇ 4. Regulyatsiya qiluvchi T hujayralari
1) Foxp3
Mushuk. Raqam: GB112325
Foxp3 tartibga soluvchi hujayralarning (Treg) imzo molekulasi sifatida qaraladi, bu Treg farqlanishi va rivojlanishida muhim rol o'ynaydi; va o'simta rivojlanishi, ko'payishi, apoptozi va invaziv migratsiyasiga bevosita ta'sir qilishi mumkin; shuningdek, o'simtaning immun mikro muhitini qayta qurishda, o'smaning immunitetidan qochish va immunosupressiv holatda ishtirok etadi.

